miércoles, 25 de julio de 2012

Apiñamiento dental





Este problema de mal posición dental lo vemos comúnmente cuando inicia la erupción de los primeros dientes permanentes, con los incisivos inferiores y posteriormente los superiores. En algunas ocasiones puede darse solo abajo, solo arriba o en ambos lados.

Esto ocurre porque los dientes permanentes vienen con mayor tamaño que los temporales o de leche y se rotan.

Los tratamientos o abordajes para ir solucionando estos problemas son varios, puede ir simplemente desde extraer algunos de los dientes de leche para que los permanentes se autocorrijan, colocar algún aparato removible o en casos más severos, colocar brackets.

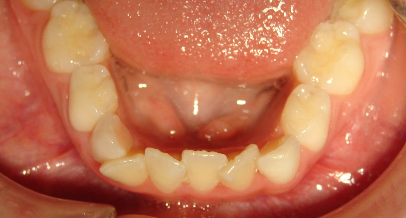
miércoles, 18 de julio de 2012

Mordida cruzada posterior





Con este tipo de mal oclusión tenemos que estar pendientes de la zona posterior, en donde encontraremos que las muelas superiores están por dentro o cubiertas por las molares inferiores, lo cual puede darse solo en un lado o a ambos lados. Por eso se llama "mordida cruzada”, ya sea unilateral o bilateral, totalmente lo opuesto a la naturaleza de las posiciones de las molares en donde siempre estas (las molares superiores) cubren a las inferiores.

Los problemas que se puede dar en estos casos si no se diagnostica y corrige a tiempo son varios, a corto y a largo plazo, como por ejemplo: un mal desarrollo del maxilar, problemas de desviación de la mandíbula, una mala función de la masticación, problemas en raíces y hueso de soporte de los dientes, entre otros.




En estos casos se utilizan aparatos de expansión y posiblemente un tratamiento de ortodoncia con brackets, para poder ensanchar la arcada o mordida superior y que vuelva a la normalidad el desarrollo, función y estética.

Te invito a que estés pendiente de este problema de mordida que es común en muchas personas. 

jueves, 5 de julio de 2012

Mordida cruzada anterior en dentición mixta temprana


A través de este espacio les envío un afectuoso saludo, esperando se encuentren muy bien y agradeciendo su preferencia.



En esta ocasión hablaremos de un problema que se puede presentar desde el inicio de la erupción dental en los dientes anteriores. Se llama mordida cruzada anterior porque los dientes superiores quedan atrapados por detrás de los inferiores, lo que causa un problema cuando el niño muerde, debido a la mala posición dental, ya sea por factores hereditarios o ambas.

Es importante detectar este problema a tiempo porque puede tener repercusiones en el desarrollo del hueso maxilar que es el que sostiene los dientes superiores o un aumento en el tamaño de la mandíbula, llevando a problemas más serios en cuanto a la mordida y en relación a los tamaños de los huesos antes mencionados. Si  este tipo de problemas no se trata adecuadamente puede terminar en un tratamiento ortodontico-quirurgico.

He tratado niños con este problema desde los 3 años de edad, con aparatos sencillos y fijos, esto como una primera fase, ya que este tipo de problemas para corregirlos adecuadamente se requiere de varias etapas, según el crecimiento del paciente. Sin embargo, muchas veces cuando se trata a tiempo el niño, tiene una autocorrección en cuanto a su crecimiento y desarrollo dento facial.

Si tienes mas dudas puedes contactarme a través de Facebook, Twitter o mi correo electrónico.